Javascript is not enabled on this browser. This site will not function properly if Javascript is not enabled.

Lowry Endodontics

Dr. Rahim Karmali

 

Dr. Rahim Karmali

Lowry Endodontics

 
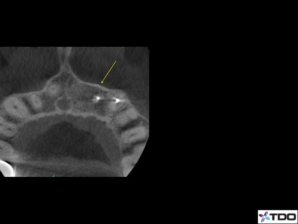
Resorption
Blog Image
Blog Image
Blog Image
Blog Image
Blog Image
 

Resorptions are challenging to predictably manage.  This is a case where multiple cycles of disinfection were required to obtain osseous regeneration.  Comparative CBCT in the medicament phase shows the bone regenerating.  The last two images are the post-op and the 6 month follow up.  The patient is ecstatic that we were able to resolve the infection and preserve his natural dentition. 

Posted:  4/29/2015 6:59 PM
Retreatment and Repair
Blog Image
Blog Image
Blog Image
Blog Image
Blog Image
Blog Image
 

This patient fractured her front tooth.  The crown was only 2 years old.  Extraction and implant placement was recommended.  It would have been a challenging case esthetically.  We were able to retreat the contaminated root canal.  Posts were placed for reinforcement.  We were able to use the existing crown by retrofitting it.  We managed the occlusion to mitigate the risk of future fracture. 

Posted:  3/3/2015 3:57 PM
Bleaching and Healing
Blog Image
Blog Image
Blog Image
Blog Image
Blog Image
 

A root canal infection can cause tooth discoloration and a tremendous amount of bone loss.  The tooth can be effectively bleached.  With careful treatment, we can predictably get the bone to heal. 

Posted:  1/23/2015 6:35 PM
 
 
495 Uinta Way #140
Denver, CO 80230

Phone:
303-363-7668 (ROOT)
Fax:
1-866-681-5889

Rahim Karmali
Lowry Endodontics